今年24岁的小雯(化名),长得清秀漂亮,从小就对表演充满热情,常常对着镜子模仿电视剧中的角色。上大学后,她利用课余时间兼职拍广告、客串MV,积累了不少经验,毕业后顺利签约一家影视公司,成为一名短剧演员。
本以为梦想正一步步走向正轨,但短剧行业紧凑的制作节奏,给了她一记“下马威”。为了赶进度,剧组经常连轴转,白天拍外景,晚上赶内景,忙起来连吃饭都顾不上,她只能靠一杯接一杯的咖啡提神“续命”。
小雯总以为年轻就是资本,咬咬牙扛一扛就过去了,可长期处于高压工作状态,身体还是悄悄亮起了“红灯”。她时常感到胃部隐隐作痛,还会反酸烧心,但一心扑在工作上的小雯,以为只是劳累带来的“小毛病”,自己买点药应付就过去了。
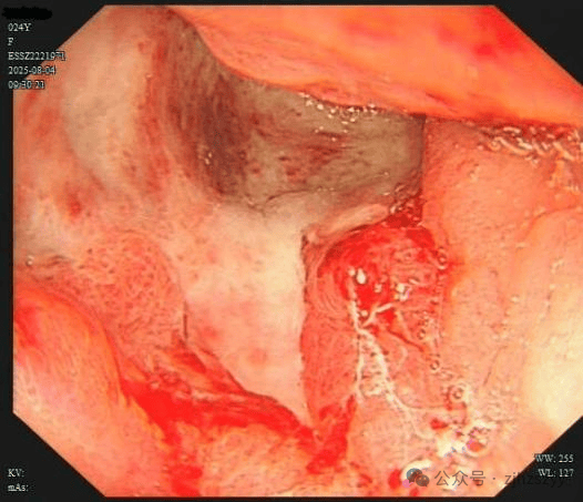
直到她开始频繁出现黑便,并在片场拍戏时几次呕血,才被同事紧急送往医院急诊。情况紧急,医生立即为小雯安排了急诊胃镜检查,发现她整个胃窦被一巨大的溃疡占据,黏膜组织变得僵硬、缺乏弹性,好似“皮革”一般。而随后的活检结果,更是给了这个年轻姑娘沉重一击——胃印戒细胞癌。


躺在病床上,小雯说:“现在很多年轻人像我一样,三餐不定时,白天靠一杯接一杯的咖啡硬撑赶工,晚上聚会又免不了喝很多酒。真的希望大家别像我这样,一点点把身体拖垮了。”
胃癌中的“伪装大师”
小雯所患的印戒细胞癌被称为“胃癌之王”,是胃癌中一种恶性程度极高的类型,占胃癌恶性肿瘤的10%左右。其名称来源于显微镜下观察到的肿瘤细胞形态——细胞内充满黏液,细胞核被挤压至边缘,形如一枚戒指。
杭州师范大学附属医院消化内科主治医师方家恒介绍,胃印戒细胞癌的发病机制目前尚未明确,主要有以下几个特点:
隐匿性强
病程进展快
早期患者很多没有明显的症状,或者症状和普通消化道疾病相似,极易被忽视。多数发现就是晚期,且具有很强的侵袭力,易转移,病情进展快。
恶性程度高
印戒细胞癌晚期患者的生存期一般只有6-12个月,5年生存率几乎为零。
方医生提醒,当然也不必过分焦虑,胃部出现症状建议及时就诊,平常定期体检,保持健康的生活方式:三餐定时定量,规律进食,不要饥一顿饱一顿;尽量少吃高脂肪、高热量、重油重盐的食物,多吃蔬菜水果;不抽烟,少喝酒;保证充足睡眠,保持心情愉悦。
年龄40岁以上,且符合下列任一条件者为胃癌高风险人群,应更早进行胃镜检查。
长期居住于胃癌高发区;
幽门螺杆菌感染;
既往患有慢性萎缩性胃炎、胃溃疡、胃息肉等癌前疾病;
一级亲属有胃癌病史;
存在胃癌其他高危因素(高盐、腌制饮食、吸烟、重度饮酒等)。
年轻人胃癌发病率30年翻一番
“以往在公众认知里,胃癌是老年人才会患的病。但近年来胃癌发病呈现年轻化趋势,19-35岁人群发病率明显上升。”中山六院胃外科学科带头人彭俊生教授提醒,爱吃辣条、泡面、烧烤等高盐、腌制、熏烤食物的人要格外当心。
据介绍,近五年我国19岁-35岁青年人的胃癌发病率明显上升,35岁以下年轻患者占病患总数6%~11%,发病率较30年前翻了一番。
记者从中山大学肿瘤防治中心胃外科获悉,近年来,该科接诊的年轻胃癌患者明显增多,且很多年轻患者一查出胃癌就已经到了晚期胃癌,治疗难度更高,且预后可能不好,令人扼腕。
“现在网上报道的年轻胃癌病例屡见不鲜,提到致病原因却往往突出‘熬夜’和‘吃外卖’这两个关键词,其实这并不全面。” 中山大学肿瘤防治中心胃外科副主任(主持工作)李元方教授提醒,胃癌是“多种因素综合作用下”的结果,导致胃癌的高危因素包括幽门螺杆菌长期感染、有慢性萎缩性胃炎等患病史、基因易感性、长期嗜食腌制食物(如腌菜、鱼露等)和霉变食物以及具有熬夜、吸烟、酗酒等不良生活因素等。
如何预防胃癌?
医生提醒,胃癌发展通常需要5-10年,早期干预是关键:
健康饮食:少吃腌制、烧烤食品,多吃新鲜蔬果,规律进餐。
良好生活习惯:坚持运动、充足睡眠、戒烟限酒。
预防幽门螺杆菌:使用公筷、定期消毒餐具,避免交叉感染。
定期检查:尤其是有家族史者,应定期做胃镜筛查。
来源:杭州市中医院、杭州师范大学附属医院、钱江晚报
编辑:林力
责编:高文玉